当前位置: 首页 >> 新闻中心 >> 学术动态 >> 正文

湘云鲫2号GSTP1负调控MAVS介导的抗病毒信号

发布人:日期:2025年01月10日 18:03浏览数:

谷胱甘肽-s转移酶(GST)是一类具有多种生理功能的蛋白质超家族,在应激反应、细胞凋亡和细胞增殖等过程中发挥着重要作用。谷胱甘肽s-转移酶P1(glutathione S-transferase P1,GSTP1)是谷胱甘肽S-转移酶超家族中的成员之一,已被证明能通过非催化结合模式调控炎症信号传导,例如抑制LPS诱导的iNOS表达。然而,其在抗病毒天然免疫中的功能有待阐明。

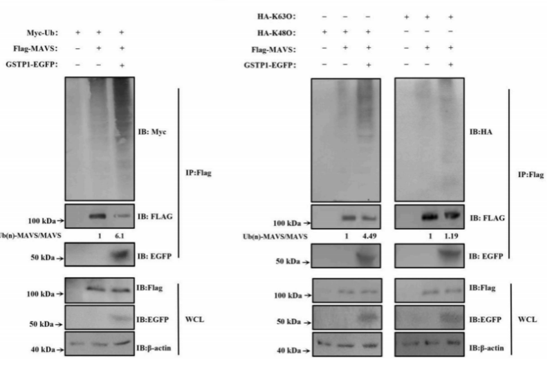
近期,湖南师范大学冯浩教授团队克隆了三倍体湘云鲫2GSTP1同源基因(3nGSTP1),探究了其在干扰素信号通路中的调控作用。序列分析结果表明3nGSTP1编码区由627个核苷酸组成,编码209个氨基酸。在鲤春病毒血症病毒(SVCV)感染后,3nGSTP1的转录水平在湘云鲫2的肝脏、肾脏以及尾鳍细胞系中显著上调。3nGSTP1的敲低显著增强了宿主细胞对SVCV的抗性,而过表达3nGSTP1则抑制了由SVCVpoly(I:C)刺激引起的IFN启动子活性。免疫共沉淀实验证明了3nGSTP1RLR信号通路中的重要接头蛋白3nMAVS相互作用。机制上3nGSTP1促进3nMAVSK48连接泛素化,从而导致其降解,最终抑制了3nMAVS介导I型干扰素信号传导。

上述研究揭示了3nGSTP13nMAVS负调控因子在宿主抗病毒天然免疫中扮演重要角色。相关研究成果以“GSTP1 is a negative regulator of MAVS in the antiviral signaling against SVCV infection”为题,发表在Fish & Shellfish Immunology期刊上。2021级硕士研究生裴帅彬为论文第一作者,冯浩教授为通讯作者。本研究得到了国家自然科学基金和湖南省自然科学基金等项目的资助。


AEGPF-3nGSTP1抑制DsRed-3nMAVS蛋白的表达

B:3nGSTP1增强3nMAVS的整体泛素化水平

C:3nGSTP1增强3nMAVSK48连接的泛素化水平